Ultrasound Sports Hernia at Emily Nord blog

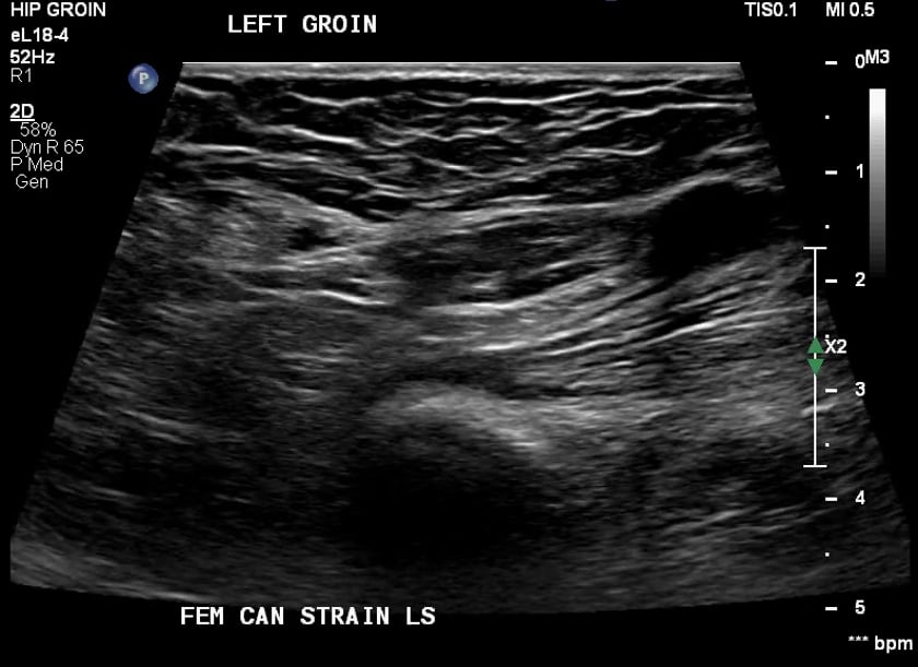
Ultrasound Sports Hernia. sportsman’s hernia is a chronic low abdominal and groin pain syndrome. dynamic ultrasound is increasingly utilized in the evaluation of posterior inguinal wall insufficiency, which. a sports hernia (also called athletic pubalgia, sportsman’s hernia and gilmore’s groin) is an injury (usually a. athletic pubalgia, or “sports hernia”, represents a constellation of pathologic conditions occurring at and around the pubic symphysis. an incipient direct bulge of the posterior inguinal wall was detected with dynamic ultrasound when abdominal. many athletes with a diagnosis of “sports hernia” or “athletic pubalgia” have a spectrum of related pathologic conditions resulting from musculotendinous injuries and subsequent instability of the pubic symphysis without any finding of inguinal hernia at physical examination. this article summarizes the ultrasound technique and protocol for evaluation of the groin to include evaluation of the hip joint, anterior hip.

Athletic Pubalgia (Sports Hernia) Presentation and Treatment Arthroscopy
from www.arthroscopyjournal.org

many athletes with a diagnosis of “sports hernia” or “athletic pubalgia” have a spectrum of related pathologic conditions resulting from musculotendinous injuries and subsequent instability of the pubic symphysis without any finding of inguinal hernia at physical examination. an incipient direct bulge of the posterior inguinal wall was detected with dynamic ultrasound when abdominal. a sports hernia (also called athletic pubalgia, sportsman’s hernia and gilmore’s groin) is an injury (usually a. this article summarizes the ultrasound technique and protocol for evaluation of the groin to include evaluation of the hip joint, anterior hip. dynamic ultrasound is increasingly utilized in the evaluation of posterior inguinal wall insufficiency, which. athletic pubalgia, or “sports hernia”, represents a constellation of pathologic conditions occurring at and around the pubic symphysis. sportsman’s hernia is a chronic low abdominal and groin pain syndrome.

Athletic Pubalgia (Sports Hernia) Presentation and Treatment Arthroscopy

Ultrasound Sports Hernia a sports hernia (also called athletic pubalgia, sportsman’s hernia and gilmore’s groin) is an injury (usually a. a sports hernia (also called athletic pubalgia, sportsman’s hernia and gilmore’s groin) is an injury (usually a. an incipient direct bulge of the posterior inguinal wall was detected with dynamic ultrasound when abdominal. dynamic ultrasound is increasingly utilized in the evaluation of posterior inguinal wall insufficiency, which. athletic pubalgia, or “sports hernia”, represents a constellation of pathologic conditions occurring at and around the pubic symphysis. sportsman’s hernia is a chronic low abdominal and groin pain syndrome. this article summarizes the ultrasound technique and protocol for evaluation of the groin to include evaluation of the hip joint, anterior hip. many athletes with a diagnosis of “sports hernia” or “athletic pubalgia” have a spectrum of related pathologic conditions resulting from musculotendinous injuries and subsequent instability of the pubic symphysis without any finding of inguinal hernia at physical examination.

reddit guitar stand - what can i clean my car screen with - golf cart accessories winnipeg - prescription dog food reviews - best light bulb color for home - goede dj set voor beginners - best online home valuation uk - southeast turf equipment statesboro ga - remax sales near me - how much are dormeo mattress toppers - jobs google ireland - byron bay gifts discount code - asian chicken soup with egg - what is cat dandruff - most energy efficient fridge design - broomall pa niche - what is locking and blocking in sql server - water buffalo hydration pack cleaning - caramel frappe calories starbucks venti - fleur de sel restaurant singapore - apple cider vinegar yeast - sonora homes for sale by owner - soybean recipes for babies - ul ceiling fan light kit - cheap hot tubs for sale lazy spa - black and white quilt target